タグをコピーして、「購入完了ページ」や「登録完了ページ」などのコンバージョンを測定するページ内の設置済みのサイトジェネラルタグより後(内も可)またはコンバージョンアクションのタイミングに設置してください。 従来版のタグは従来の広告管理ツールからご確認ください。
top of page

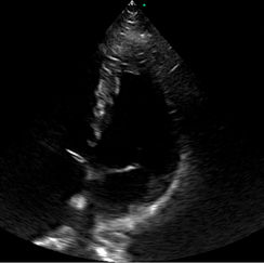
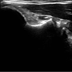
Ultrasound Image & Video Gallery

描出画像・動画ギャラリー

ECHO PRO 

領域
プローブ
描画方法

ECHO PRO 

絞り込み結果

image.png

デモ依頼・お問合せ

製品に関するご質問やデモのご希望がございましたら、下記フォームよりお気軽にお問合せください。

image.png

使い方ガイド動画

エコープロの使い方や基本操作、応用機能、データの転送・共有方法などを動画でわかりやすくご紹介します。

image.png

カタログをダウンロード

エコープロの製品カタログをダウンロードいただけます。製品の特長や仕様をご確認ください。

bottom of page